近日,三级片
心血管外科完成首例急性心梗复合型心脏破裂手术。来自蒲城县的一名50岁男性患者遇到急性心梗发生心脏破裂险情,所幸经过心外科紧急救治后,患者重获新生。
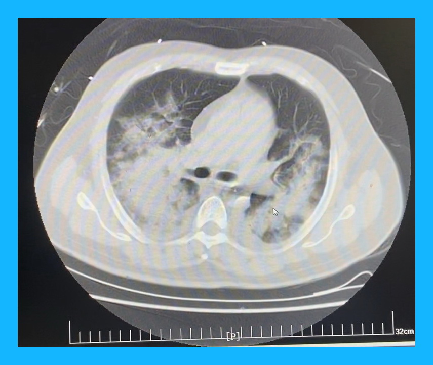
患者因为胸闷、乏力并开始咳嗽,且持续不能缓解,就诊蒲城县医院心脏内科,超声心动图检查考虑急性心梗室间隔穿孔,结果让接诊的医护人员立刻紧张起来,患者已经出现了严重的肺水肿,病情极其危险,心脏随时可能罢工。
当地医院专家立即与三级片
心脏内科梁磊主任联系后,立即将患者转入三级片
心脏外科,付建莉主任医师心脏超声检查,确诊为心脏左室下壁瘤样膨出,与正常室壁呈矛盾运动,测其瘤口为41mm,瘤深27mm,后室间隔下壁回声失落,左室面缺损口大小38mm,右室面缺损口大小21mm,病情十分危急。
急性心肌梗死心脏破裂在急性期手术,由于心肌处于严重的炎症水肿状态,早期很多病人因此造成切口出血下不了手术台;美国STS数据库显示,如果在发病4周后手术,患者的病死可能性为13.2%,所以目前大多数倾向择期手术;但临床中只有5%的患者可以保持血流动力学稳定,所以急诊手术是唯一有效的救命方法;而这个患者更为严重的是,由于没有及时就医,双肺严重水肿,X片上双肺已经全部发白,血压只能靠IABP勉强维持。
一般室间隔穿孔在1cm以下,患者可以在严密医学监护下存活,但这么大的破裂,同时合并巨大的室壁瘤,患者随时有生命危险。但如果不进行手术,患者几乎没有生存的希望;如果在心肌严重水肿的情况下手术,也意味风险不仅来自手术本身,手术后能否存活也是一个巨大的挑战。
石践主任医师带领团队反复讨论,充分考虑到手术的复杂程度及风险,根据既往多例心脏破裂的成功手术经验,初步决定尽快手术才是唯一可能有效的方法;在和家属充分沟通后,家属积极表示,相信省医院团队的医疗水平,无任何条件支持急诊手术,尽最大可能挽救患者生命。
考虑到该例患者的特殊性,手术中各个环节风险高,麻醉组徐伟主任医师、体外循环方福珍灌注师与石践主任医师在术前多次深入论证,优化术中麻醉方案和术中体外循环方案,确保将患者心功能和容量状态调整至最佳,避免循环的剧烈波动。11月17日上午9点,在手术室、麻醉、体外循环的全力支持下,石践医师带领团队为患者进行了全麻体外循环下左室游离壁破裂修补、室间隔穿孔修补、左室室壁瘤切除、冠脉动脉旁路移植手术。
心包切开后,发现大量血性心包积液,室壁瘤已经发生破裂,心脏严重水肿,经室壁瘤切口探查,发现一个近30毫米的巨大室间隔穿孔。术后经食道超声证实,室间隔穿孔消失,左心室前侧壁和下壁活动度改善,瓣膜未见反流。手术顺利结束,患者安全回到心外科ICU。
ICU团队高度重视患者病情,时刻关注患者的入液量、尿量、循环情况,每日多次行床旁超声评估病情,患者血压逐渐平稳,升压药物逐渐减量,肺功能明显改善,顺利拔除了气管插管,患者各项指标情况逐渐恢复正常。
急性心梗后心脏破裂需要手术干预的有三种类型,室间隔穿孔、游离壁破裂、二尖瓣乳头肌断裂,这个患者同时存在了两种,而菲薄的室壁瘤存在更加剧了风险;心梗后并发复合型心脏破裂十分少见,国际上也仅在个例报道,手术成功的更为少见,该例患者在多学科的密切配合下,在家属态度坚决、积极配合下,最终成功挽回了宝贵的生命,充分体现了三级片
在心脏疑难危重疾病方面的综合救治能力。




