4月24日,心血管内二科为一位79岁罕见巨大左心房伴重度风湿性二尖瓣狭窄的女性患者成功开展了心腔内超声指引下的经皮二尖瓣球囊扩张成形术。这一罕见病例的成功实施,标志着三级片
在心腔内超声引导下对重度风湿性二尖瓣狭窄伴巨大左心房这类复杂病例的诊治迈上了更高的台阶。
患者因“发作性气短20余年”之主诉入院,多次心脏超声诊断为风湿性心脏瓣膜病二尖瓣狭窄,此次因症状再发加重入院。经评估患者二尖瓣瓣口面积为0.67cm2,二尖瓣跨瓣压差为22mmHg,左房前后径94mm,左右径109mm,为重度风湿性二尖瓣狭窄伴罕见巨大左心房。在心内二科主任寿锡凌带领下,全科室充分讨论。因患者年龄大、基础情况差、无法耐受外科手术治疗,药物治疗不能解除瓣膜狭窄,只能选择经皮二尖瓣球囊扩张成形术。但鉴于患者巨大左心房已使心脏结构发生了巨大变化,单纯通过传统DSA影像结合经胸心脏超声指引下穿刺房间隔引起心脏破裂、心脏填塞、房间隔穿刺部位不佳影响手术操作、二尖瓣狭窄严重难以寻找二尖瓣瓣口、球囊扩张时球囊扩张位置不佳、术中难以即刻评估瓣膜扩张效果等均会导致手术失败进而威胁患者生命。考虑到心腔内超声宛如“心腔内的眼睛”可实时为术者提供心腔内的解剖结构毗邻关系,弥补传统DSA影像结合经胸心脏超声的不足,能为术者决策实时提供指导,确保手术能够安全、准确、顺利完成,最终决定为患者行心腔内超声指引下经皮二尖瓣球囊扩张成形手术。
此例手术由姚晓伟主任医师、韩稳琦主治医师、赵永勇主治医师通过心腔内超声指导下进行,通过心腔内超声精准构建心脏模型、直视下穿刺房间隔,后通过心腔内超声及左心房造影寻找狭窄的二尖瓣瓣口,并指引二尖瓣球囊扩张导管顺利经狭窄的二尖瓣口至左心室,在心腔内超声的指引下选择最佳位置以26mm球囊导管反复扩张狭窄的二尖瓣。术后第二天复查心脏超声,患者二尖瓣瓣口面积由术前0.67cm2扩大到术后1.69cm2,二尖瓣跨瓣压差由术前22mmHg降低至术后的16mmHg,左房前后径由术前94mm减小至术后92mm,左房左右径由术前109mm减小至术后102mm,并且球囊扩张后未引起明显的二尖瓣反流,患者心功能明显改善,自觉症状明显好转出院。
经皮二尖瓣球囊扩张成形术因其不需要开胸、创伤小、术后恢复快、严重并发症少见、作用明显而被广泛应用于临床治疗二尖瓣狭窄。心血管内二科独立成功完成此例罕见、复杂、高风险二尖瓣狭窄患者心腔内超声指引下的经皮二尖瓣球囊扩张成形术,标志着三级片
对各种复杂的二尖瓣狭窄的综合性诊疗有了更多元的选择,将为更多二尖瓣狭窄患者提供更全面、更安全、更个体的诊疗解决方案。今后心内二科将大力推广此项技术,为广大二尖瓣狭窄的患者提供更优化、更安全的治疗方案,造福更多患者。

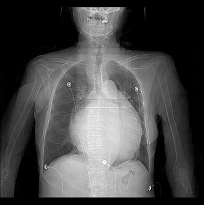
图一:患者胸片显示心影显著增大,以左心房增大为主

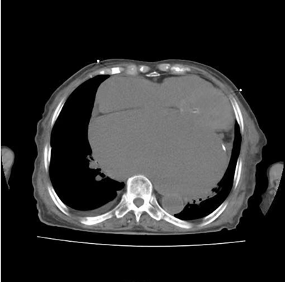
图二:患者胸CT所示巨大左心房

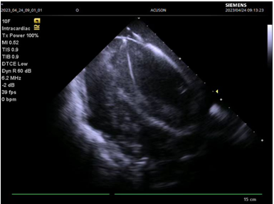
图三:心腔内超声指导下成功穿刺房间隔

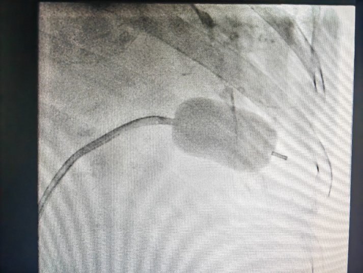
图四:球囊对狭窄的二尖瓣进行扩张