近日,肿瘤内科段宝军副主任医师与张帆主治医师完成三级片
首例3D可视化手术规划系统辅助超声引导下转移性肝癌病灶微波消融术,患者术后恢复良好,目前已出院。
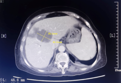
患者为67岁女性,1年余前诊断胃腺癌晚期,肝脏、骨骼及淋巴结多发转移,本次入院复查发现肝脏病灶进展,科主任白俊主任医师、主管医生刘莹主治医师详细分析并与患者家属沟通病情,考虑患者既往接受多线系统性抗肿瘤药物治疗,且治疗过程中多次出现剂量限制性骨髓毒性,继续更换药物治疗的选择空间不多,推荐超声引导下微波消融部分肝脏转移病灶,以期为后续继续免疫及靶向治疗创造在体瘤苗的机会。段宝军副主任医师认真阅片后,考虑该例患者肝转移病灶大(最大径超过5厘米),且毗邻膈肌、肝左静脉及第一肝门等重要结构,因此采用3D可视化手术规划系统设计微波消融方案,在麻醉科常建华副主任医师及手术室的精心配合下,顺利完成了肝转移病灶微波消融手术。
超声引导下肝癌病灶微波消融术微创、经济,且无辐射,是指南推荐的肝癌标准治疗方案。但由于重复进针的人为误差、热传导不足、肝脏储备功能等因素的影响,大肝癌的消融治疗难以做到根治性消融,尤其是危险区域的肝癌病灶微波消融易发生严重并发症,导致超声引导下微波消融的治疗作用与外科手术存在一定差距。
3D可视化系统可通过分析、融合、渲染等处理患者术前增强MRI或CT影像数据,在系统上创建不同的模块(如正常肝、病肝、门静脉、肝静脉等模块),对肝内外胆管及动、静脉系统重建,分析病灶与周围重要器官的关系,以及可能损伤的结构,确定安全边界,模拟进针路径、针数、消融时间,计算肿瘤体积、剩余肝体积,用不同颜色代表进针次序,对较大肿瘤需不断调整针的空间位置使热场范围能够覆盖安全边界。该技术辅助超声引导下肝癌微波消融术可提高消融成功概率、有利于制定更加合理的手术方案,减少消融手术并发症的发生,为肝癌的精准、安全消融治疗提供了新的选择。


