2月16日,心内二科为一位76岁的合并高栓塞、高出血风险房颤男性患者成功开展了房颤射频消融+首例WATCHMAN FLX左心耳封堵系统植入的“一站式”手术。这一左心耳封堵系统植入技术的成功应用,标志着三级片
在左心耳封堵方面迈上了更高的台阶。
WATCHMAN FLX左心耳封堵系统为目前新一代系统,能够适用于临床上各种类型的左心耳形态,可以实现与组织的最佳接合,以获得长期稳定性和更快、更完整的密封。该封堵系统在心腔内超声(ICE)引导下顺利进行,全程微创操作,仅股静脉穿刺的创伤,术中患者全程清醒,术后数小时即可下床活动,简化了术前准备,优化了手术步骤,避免了术中全麻及食道超声的引导,使患者术中体验更好,从此使患者摆脱抗凝、远离卒中,最大限度预防房颤血栓栓塞事件。
患者“心房颤动”病史8月余,此次因急性脑梗死入住三级片
神经内科,考虑患者急性脑梗死为房颤血栓脱落栓塞所致,会诊后转至心内二科。经评估患者为高栓塞、高出血风险,在心内二科科主任寿锡凌带领下,全科室充分讨论,决定为患者行房颤射频消融联合左心耳封堵“一站式”手术,解决其房颤症状带来的困扰,并通过左心耳封堵为房颤患者撑起一把“保护伞”,从而改善患者长期预后。
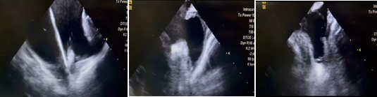
此例手术由韩稳琦博士和酉鹏华博士通过ICE指导下进行,通过ICE精准构建心脏模型、直视下穿刺房间隔,结合三维标测系统,精准、高效地完成双侧肺静脉隔离。后通过ICE及左心耳造影评估左心耳特征为下缘短,上缘折角大的短颈鸡翅型心耳,利用12F导引系统鞘管和猪尾导管在DSA肝位下同时造影,测量左心耳开口25.12mm,最大可用锚定区深度19.71mm,最终选择31mm规格watchman FLX封堵器的植入。ICE从不同角度检查即将释放的WATCHMAN FLX左心耳封堵器,观察封堵器位置、露肩、残余分流和压缩比情况,明确封堵器位置合理,无明显露肩,完全封堵无残余分流,封堵器位置良好。随后在ICE下观察及DSA透视下作牵拉试验,直到最后一次牵拉与前一次牵拉比较无位置改变,压缩比无明显变化,符合封堵器释放的“PASS”原则后完全释放封堵器。
三级片
房颤+左心耳封堵“一站式”手术的成熟开展,标志着三级片
对房颤的综合性诊疗有了更多元的选择,将为更多房颤患者提供更全面、更安全、更个体的诊疗解决方案。今后心内二科将大力推广此项技术,为广大房颤合并血栓栓塞风险的患者提供更优化、更有效、更安全的治疗方案,造福更多房颤患者。

图1 ICE观察测量左心耳开口及深度

图2 DSA测量左心耳开口及深度

图3 术后ICE观察测量Watchman FLX封堵器位置

图4 Watchman FLX封堵器释放

心内二科术者团队